Prodoct -tiedot
|
Proteiini Koko nimi |
T-solun pintaglykoproteiini CD4 |
|
Synonyymit |
CD4, CD4MUT, CD4 -molekyyli |
|
Immunogeeni |
KLH -konjugoitu synteettinen peptidi, joka vastaa hiiren CD4: tä |
|
Uniprot ID |
P06332 |
|
Isotyyppi |
IgG |
|
Puhtaus |
Affiniteettipuhdistus |
|
Solunsisäinen sijainti |
Solukalvo |
Sovellukset
|
IHC\/IF |
Hiiri |
1: 200-1: 1500 |
perna, pernasiitti |
Tausta
Tämä geeni koodaa T -lymfosyyttien kalvo -glykoproteiinia, joka on vuorovaikutuksessa tärkeimpien histoyhteensopivuuskompleksin luokan II antigeenien kanssa ja on myös reseptori ihmisen immuunikatovirukselle. Tämä geeni ekspressoituu paitsi T -lymfosyyteissä, myös B -soluissa, makrofageissa ja granulosyyteissä. Se ilmenee myös aivojen tietyillä alueilla. Proteiini toimii T-solujen aktivoinnin varhaisen vaiheen aloittamiseksi tai täydentämiseksi, ja ne voivat toimia tärkeänä välittäjänä välillisissä hermosolujen vaurioissa tartunta- ja immuunivälitteisissä keskushermoston sairauksissa.
Kuvat
|
|
CD4: n IHC -analyysi (GB11064). Näyte: Hiiren perna (parafiini), 4% PFA (G1101) 12-24 h. Antigeenin haku: sitraattipuskuri (pH 6. 0) (G1201), painekattila 2 min. Estopuskuri: 3% BSA PBS: ssä (GC305010), RT, 30 minuuttia. Primaarinen vasta -aine: 1: 200, 4 astetta yön yli. Toissijainen vasta-aine: HRP-vuohen anti-kani LGG (GB23303), 1: 200 RT 1H. |
|
|
CD4: n IHC -analyysi (GB11064). Näyte: Hiiren perna (parafiini), 4% PFA (G1101) 12-24 h. Antigeenin haku: sitraattipuskuri (pH 6. 0) (G1201), painekattila 2 min. Estopuskuri: 3% BSA PBS: ssä (GC305010), RT, 30 minuuttia. Primaarinen vasta -aine: 1: 500, 4 astetta yön yli. Toissijainen vasta-aine: HRP-vuohen anti-kani LGG (GB23303), 1: 200 RT 1H. |
|
|
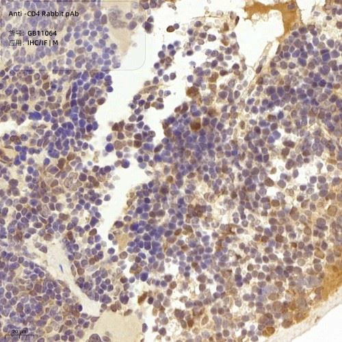
CD4: n IHC -analyysi (GB11064). Näyte: Hiiren splenitis (parafiini), 4% PFA (G1101) 12-24 h. Antigeenin haku: sitraattipuskuri (pH 6. 0) (G1201), painekattila 2 min. Estopuskuri: 3% BSA PBS: ssä (GC305010), RT, 30 minuuttia. Primaarinen vasta -aine: 1: 500, 4 astetta yön yli. Toissijainen vasta-aine: HRP-vuohen anti-kani LGG (GB23303), 1: 200 RT 1H. |
Säilytys-
| Säilytys- | Säilytä -20 astetta yhden vuoden ajan. Vältä toistuvia jäätymis-\/ sulatusjaksoja. |
| Säilytyspuskuri | PBS 0. 02% natrium -atsidi, 100 ug\/ml BSA ja 50% glyseroli. |
Huomaa:
1. Tämä tuote on tarkoitettu vain tutkimukselle.
2. Tätä tuotetta suositellaan laimentamaan primaarisen vasta -aineen laimennuspuskurilla (G2025).
Suositut Tagit: Anti-CD4-kanin Pab, Kiinan anti-CD4-kanin PAB-valmistajat, toimittajat, tehdas



